Neurochirurgia mininvasiva cranica (Keyhole Surgery)
Il concetto del keyhole, ossia dell’intervento realizzato attraverso un “buco strategico”, é conosciuto in tutte le chirurgie, e mira a minimizzare l’impatto della chirurgia sul paziente, si pensi alla colecistectomia endoscopica o l’artroscopia nella lesione dei legamenti del
ginocchio. Questo concetto diventa ancora più importante quando si tratta di “cervello”, quando si tratta di una regione, la testa, che difficilmente possiamo nascondere, come facciamo per il resto del corpo. Ecco perché la necessità di perfezionare un approccio che sia
minimamente invasivo, sia in termini di impatto psicologico e fisico del paziente sia di impatto sociale.
In primis il keyhole approach limita la rasatura dei capelli ad una sottile linea che coincide con l’incisione chirurgica. L’incisione chirurgica viene ridotta al minimo necessario ad ottenere comunque il massimo dei risultati. Tutto questo comporta minor dolore postoperatorio, minor possibilità di formazione di raccolte ematiche sotto la pelle nei giorni successivi con una più rapida ripresa, mobilizzazione e dimissione precoce. Anche l’apertura della scatola cranica viene ridotta al minimo così come l’esposizione del cervello sano. Questo ovviamente limita al massimo le complicanze, come ematomi o crisi
epilettiche.
Questa tecnica si avvale di strumenti come il NEURONAVIGATORE INTRAOPERATORIO per la scelta dell’entrata migliore tramite calcolo delle diagonali dell’approccio ai fino di ottenere l’asportazione radicale della lesione, qualunque essa sia, sia essa superficiale o
profonda e dell’ENDOSCOPIO per visualizzare i punti che possono rimanere in ombra in un corridoio stretto (tecnica chiamata LOOK AROUND THE CORNER, cioé “guarda dietro l’angolo”).
Caso 1: Glioblastoma temporo-opercolare


Caso 2: angioma cavernoso profondo


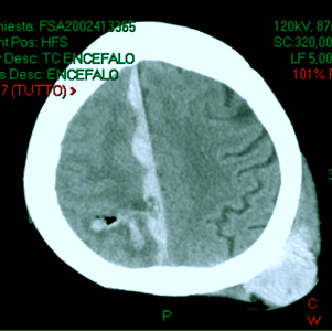
Caso 3: ematoma intraparenchimale post-traumatico


Caso 4: astrocitoma subependimale a grandi cellule in sclerosi tuberosa. Assistenza endoscopica.



















