Adenomi Ipofisari e Patologia Sellare
Presso l’Arcispedale Sant’Anna di Ferrara (recentemente trasferitosi presso il nuovo Polo Ospedaliero di Cona) è stato creato un gruppo multidisciplinare, formato da singole figure professionali che si occupano nell’ambito di diverse specialità, del trattamento della patologia ipofisaria e del basicranio.
Da oltre un decennio è infatti attivo un percorso diagnostico terapeutico che coinvolgendo le U.O. di Neurochirurgia, di Endocrinologia, di Neuroradiologia, di Oculistica e della Anatomia Patologica ha reso più efficace la gestione dei pazienti afferenti al nostro ospedale.
La costituzione di percorsi ottimizzati in un unico centro di riferimento, vista la complessità dell’iter diagnostico-terapeutico legato a tali patologie, è stato finalizzato a migliorare l’accessibilità alle prestazioni e soddisfare le esigenze del paziente.
PATOLOGIA INTRASELLARE
– Microadenomi e Macroadenomi ipofisari
– Tumori primitivi della neuroipofisi
– Metastasi dell’asse ipotalamo-ipofisario
– Cisti della tasca di Rathke
– Lesioni infiammatorie ipofisarie
PATOLOGIA SOPRASELLARE
– Craniofaringioma
– Germinoma
– Epidermoide
– Dermoide
– Lipoma
– Teratoma
– Amartoma ipotalamico
– Cisti aracnoidea
– Glioma ottico-chiasmatico ed ipotalamico
– Meningiomi soprasellari
– Sarcoidosi
– Istiocitosi a cellule di Langerhans
PATOLOGIA PARASELLARE
– Aneurismi parasellari
– Fistole carotido-cavernose
– Meningiomi parasellari
– Neurinoma del trigemino
PATOLOGIA RETRO ED INFRASELLARE
– Cordoma del clivus
– Condroma e condrosarcoma
– Carcinoma e metastasi dello sfenoide
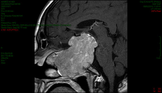
Le patologie più frequenti in regione ipofisaria e del basicranio, sono rappresentate da adenomi ipofisari, tumori benigni che interessano prevalentemente una popolazione giovane di età compresa tra 15 e 50 anni con incidenza doppia nel sesso femminile.
Gli adenomi vengono classificati in base alla secrezione ed alle dimensioni. Per quanto riguarda la secrezione distinguiamo gli adenomi ipofisari in:
– Secernenti
– Non secernenti
I secernenti a loro volta si suddividono ulteriormente in base all’ormone secreto. Per quanto riguarda invece le dimensioni distinguiamo:
– Microadenomi: < 10 mm – Macroadenomi: tra 10 e 20 mm – Adenomi Giganti: > 20mm
Per quanto riguarda la sintomatologia questa dipende dalla tipologia dell’adenoma. I non secernenti danno manifestazione di sé soprattutto per l’effetto compressivo esercitato sulle strutture vicine, mentre i secernenti danno disturbi ormonali legati alla eccessiva produzione di un determinato ormone.
Nella maggior parte dei casi l’approccio al tumore è mini-invasivo attraverso le cavità nasali fino a raggiungere il cavo sellare sede dell’adenoma (Approccio trans-naso-sfenoidale), mentre in casi selezionati (adenomi giganti con estensione extra sellare può essere indicato un approccio chirurgico per via trans-cranica o un intervento combinato, in due fasi, che prevede lo svuotamento parziale dell’adenoma per via trans-naso-sfenoidale e la successiva asportazione della porzione sopra o para-sellare per via endocranica.
Anche nel nostro centro viene talvolta utilizzatala Neuroendoscopia per la chirurgia degli adenomi.
Generalmente i pazienti affetti da adenoma ipofisario vengono ricoverati in NCH con diagnosi clinica già accertata e per quelli residenti nella provincia con la valutazione anestesiologica già eseguita.
Tutti i pazienti vengono sottoposti a TAC cerebrale pre–operatoria per Neuronavigazione, esame che ci consente di avere nel computer della sala operatoria la ricostruzione tridimensionale della lesione e la corretta traiettoria chirurgica da seguire.
Il paziente che al termine dell’intervento viene riportato in degenza con il proprio letto, si presenta generalmente sveglio in posizione supina e nel caso di intervento trans-sfenoidale con due drenaggi portex inseriti nelle narici.
Nel caso di un approccio chirurgico per via endocranica ci sarà la presenza di un drenaggio ferita a caduta ed in entrambi i casi il paziente può avere un catetere vescicale ed un cateterino spinale collegato ad un sistema di raccolta sempre a circuito chiuso.
L’esecuzione di una TAC cerebrale di controllo post-operatoria, una valutazione del bilancio idro-elettrolitico, i dosaggi ormonali e la rimozione dei tamponi nasali dopo 3-5 giorni completano il programma del post-operatorio.
Alla dimissione il paziente viene informato sui successivi controlli presso l’ambulatorio delle patologie ipofisarie e sul percorso degli esami neuro radiologici e clinici al fine definire la risoluzione della patologia.
La Neurochirurgia ha inoltre da vari anni consolidato una stretta collaborazione con i Colleghi del reparto di Chirurgia Maxillo-Facciale (diretta dal Dott. Clauser) per affrontare qui casi in cui le lesioni (Espansive, Malformative e Traumatiche) richiedono un approccio multidisciplinare.
Nell’ambito della patologia ipofisaria si presentano le immagini di un adenoma ipofisario gigante che ha reso necessario un intervento con approccio combinato trans-facciale.
La nostra casistica, per quanto riguarda le complicazioni, risulta allineata alla letteratura internazionale.
Tasso di mortalità 0,5 %; tasso di diabete insipido 20%; complicanze vascolari 5,2%; casi di perdita di liquor 10%.










Comments
No comment yet.